2025年11月20日发表在Cell Metabolism的研究发现:肥胖时,一部分血管内皮细胞会“提前变老”,并通过释放炎症信号,推动全身性的代谢紊乱。但如果清除这些衰老细胞,胖小鼠的代谢竟能大幅改善。这一发现,为治疗肥胖相关代谢病带来全新思路。

一、衰老细胞:不是静默,而是“制造麻烦”
细胞衰老并非简单的“停止生长”。衰老细胞会持续释放一种叫SASP(衰老相关分泌表型)的分子,里面包含炎症因子(如TNF-α、IL-6)、蛋白酶和化学信号。它们会:让周围组织处于慢性炎症;阻碍脂肪细胞的正常功能;甚至“传染性地”促使其他细胞也变老。换句话说,衰老细胞就像社区里不断制造噪音、垃圾和冲突的“问题住户”。

二、肥胖让脂肪组织的血管细胞提前衰老
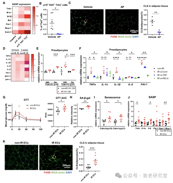
研究团队在肥胖小鼠的脂肪组织中观察到:大量p16⁺(衰老标记)血管内皮细胞出现;它们释放的炎症因子显著高于其他细胞类型;脂肪组织产生典型的“花环样结构”(CLS),这是炎症恶化的重要标志。论文的组织图像清楚显示,衰老内皮细胞密集分布于脂肪组织血管周围,其数量随肥胖加重明显增加。更重要的是,不同衰老细胞的行为并不完全相同。研究显示:内皮细胞的衰老比脂肪细胞或免疫细胞的衰老更能驱动炎症和代谢病。

三、清除衰老的血管细胞,能改变什么?
为了验证这些衰老血管细胞的作用,研究团队构建了一种特殊的小鼠模型:在注射特定药物后,可以特异、精确地清除p16⁺血管内皮细胞。结果令人惊讶。1.脂肪组织炎症明显下降:p16⁺内皮细胞数量大幅减少;IL-6、TNF-α等炎症因子下降;CLS面积显著缩小。说明炎症的源头被“拔掉”了。2.葡萄糖代谢显著改善:对小鼠做葡萄糖耐量测试(GTT)后发现:清除衰老内皮细胞的小鼠血糖下降更快;胰岛素敏感性提升;肝脏脂肪堆积减少。这些改善并非来自体重下降,而是由于脂肪组织“变健康了”。
四、衰老的血管细胞会“传染”健康细胞
论文中另一项关键实验显示:将衰老内皮细胞的培养液滴加到人类前脂肪细胞上,会导致:这些细胞表达更多衰老标记(p21、p16);炎症水平升高;分化能力下降。也就是说,衰老内皮细胞就像“扩散源”,污染周围环境,使脂肪组织整体功能受损。进一步的移植实验也证实:仅仅植入少量衰老内皮细胞,就能让原本健康的小鼠出现代谢问题。

五、天然小分子Fisetin:或成未来治疗方案
除了基因方式,研究者还测试了天然黄酮小分子(某些水果和蔬菜中含量较高)的效果。令人意外的是:在肥胖小鼠中,Fisetin能减少p16⁺细胞;降低脂肪组织炎症;改善血糖与胰岛素敏感性;甚至在人类脂肪组织切片中,也能减少衰老内皮细胞的数量。这意味着:清除衰老细胞的药物(Senolytics)可能成为治疗糖尿病和肥胖的新方向,不再单纯依赖饮食控制和降低体重。

从“细胞年龄”入手,或许能逆转代谢疾病
肥胖与代谢疾病的治疗,过去主要集中在“能量管理”——吃多少、消耗多少。但这项研究告诉我们:真正推动肥胖相关炎症和代谢紊乱的,是细胞层面的“衰老积累”。只要清除这些“问题细胞”,哪怕体重不变,代谢也能显著改善。未来的肥胖治疗,可能会从“减脂”走向“抗衰老”,开启一种全新的医学理念。