生物谷 生物谷 2022-10-18 19:58 发表于上海
几十年来,科学家们一直对人类神经变性疾病阿尔兹海默病的发病机制感到困惑,但目前仍然无法开发出有效阻断或逆转这种疾病对大脑影响效应的新型疗法。
近日,一篇发表在国际杂志Nature Aging上题为“Alzheimer's disease-associated U1 snRNP splicing dysfunction causes neuronal hyperexcitability and cognitive impairment”的研究报告中,来自美国圣犹大儿童研究医院等机构的科学家们开发了一种新型小鼠模型,相比此前模型而言其或能更好的模拟出人类阿尔兹海默病,相关研究或有望帮助揭示诱发阿尔兹海默病的发病机制。
研究人员利用这种新型模型发现,RNA剪接的缺陷或许会导致阿尔兹海默病的神经变性。RNA剪接是一种特殊过程,其能移除非编码的基因序列并将编码蛋白质的序列连接起来。
研究者Junmin Peng说道:“RNA剪接是机体转录和翻译的必要过程,其对于大脑健康尤为重要,因为我们都知道,大脑中拥有比机体中其它器官更多的细胞多样性,而且剪接也被认为是机体产生蛋白质多样性的重要过程。”
此前研究结果表明,RNA剪接机器中的特殊组分—U1小核内核糖核蛋白(snRNP,U1 small nuclear ribonucleoprotein)或能在阿尔兹海默病个体大脑中产生聚集物,U1 snRNP复合体在RNA剪接过程中是非常必要的。如今,研究人员发现,U1 snRNP的功能异常或会促进神经变性发生,这或许就为研究阿尔兹海默病的发生提供了新的思路。此外研究者还发现,因U1 snRNP病理变化所导致的RNA剪接功能的异常或许能帮助引发机体的神经变性过程。

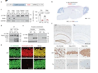
揭示RNA剪接缺陷诱发人类阿尔兹海默病的分子机制。
图片来源:Nature Aging (2022). DOI:10.1038/s43587-022-00290-0
U1 snRNP是大脑中形成缠结样结构的一类聚集物,但这仅仅是描述性的,直到现在研究人员才理解了将这种病理学表现与疾病表型联系起来的机制。这项研究中,研究人员创建了一种名为N40K-Tg的RNA剪接缺陷的新型小鼠模型,当其解除对剪接机器的控制时就会出现基本的神经变性过程,于是研究人员就想通过研究理解为什么会出现这种情况。
Peng表示:“剪接机器非常重要,而在实验室中创造出一种用于研究的模型却具有极大的挑战性,如今我们创建出一种仅在神经元中发生剪接功能异常的模型,这种模型就能揭示引发神经元毒性和机体认知损伤的剪接功能异常。”
抑制神经元的活性或许就能防止大脑过度兴奋,如果科学家们抑制的抑制性神经元的活性,神经元或许就会变得更加活跃,但却会引起一定的毒性,研究人员发现这对于突触蛋白或许会产生很大的影响,尤其是参与抑制性神经元活性的蛋白质。兴奋性的毒性非常重要,因为其在阿尔兹海默病研究领域是众所周知的。即使在20-30年前,人们就意识到了神经元会变得超级兴奋,而如今研究人员才发现,剪接机器或许会促进阿尔兹海默病患者机体中所观察到的兴奋性毒性。
阿尔兹海默病发生的一个标志就是大脑中β-淀粉样蛋白和tau蛋白的聚集,此前研究中,研究者发现U1 snRNP也能在大脑中形成聚集物,但科学家们并不能研究U1 snRNP在疾病发生过程中所扮演的关键角色,直到其开发了一种能扰乱引发RNA剪接缺陷的U1 snRNP功能的特殊模型。为了理解在β-淀粉样蛋白聚集的情况下RNA剪接缺陷的行为如何,研究人员将其所开发的小鼠模型与一种携带β-淀粉样蛋白的小鼠模型进行杂交,这两类毒性或许就会重塑大脑的转录组和蛋白质组,并能失调突触蛋白的功能以及加速机体的认知缺陷。
研究者Peng说道:“从最初的行为到细胞生物学,如今再到阐明分子机制,我们已经确定了RNA剪接机器对于阿尔兹海默病中神经元兴奋性毒性的潜在贡献。”
这种杂交小鼠模型或许要比早期模型更能接近人类的阿尔兹海默病,或许对于研究未来人类的阿尔兹海默病的发病机制提供了新的线索和思路。综上,本文研究结果支持了U1 snRNP介导的剪接功能障碍对于阿尔兹海默病病理学表现的贡献。
原始出处:
Chen, PC., Han, X., Shaw, T.I. et al. Alzheimer’s disease-associated U1 snRNP splicing dysfunction causes neuronal hyperexcitability and cognitive impairment. Nat Aging (2022). doi:10.1038/s43587-022-00290-0